Casos de pneumonia aumentam 20% em SP
Casos de pneumonia aumentam 20% em SP
Vacina que protege contra a doença é oferecida de graça pelo SUS para idosos acamados e institucionalizados e pessoas com determinadas doenças e está disponível nas UBSs.
Por Redação TV Globo e g1 SP — São Paulo

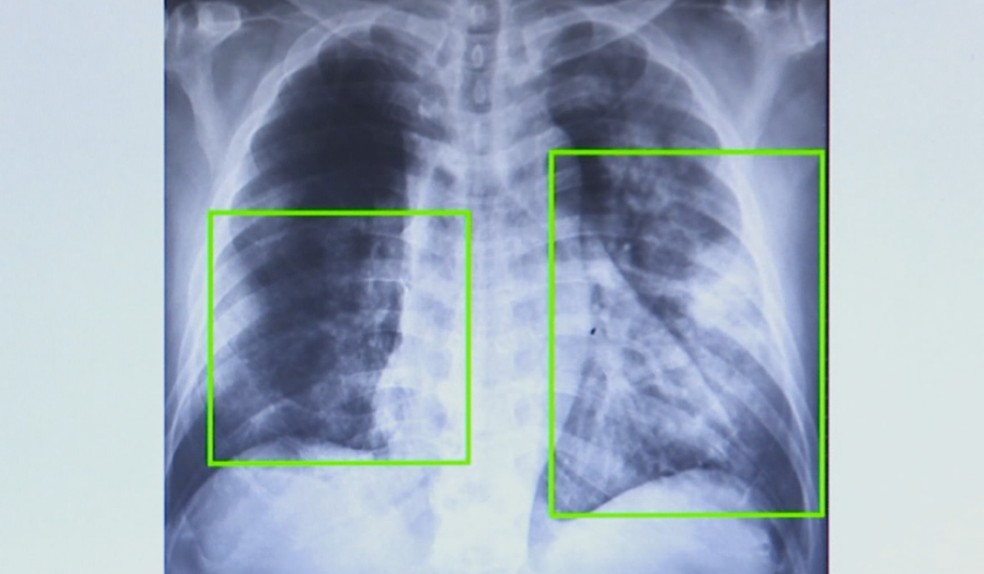
Número de atendimentos a pneumonia dobra em Campinas; Piracicaba teve aumento de 20%
Os casos de pneumonia cresceram em todo o estado e vêm lotando as unidades de saúde neste fim de ano. De janeiro a agosto, a Secretaria estadual da Saúde registrou 202.357 atendimentos pela doença, um aumento de 20% em relação ao mesmo período do ano passado, quando foram contabilizados 167.263.
É nesse cenário de avanço rápido que especialistas reforçam o alerta: grande parte das infecções poderia ser evitada com proteção adequada, especialmente com a vacinação. Segundo médicos, a combinação entre vírus respiratórios e baixas coberturas vacinais vem contribuindo para a escalada de atendimentos.
O pneumologista Rodrigo Athanazio explica que tanto pneumonias bacterianas quanto virais têm crescido, e que uma infecção viral mal controlada pode abrir caminho para quadros mais graves.
“A gente está acostumado a falar da pneumonia bacteriana, que é muito frequente, mas a viral também ocorre. Frente a isso, a vacinação é muito importante. Primeiro para prevenir, e segundo porque uma das principais causas de pneumonia bacteriana é o quadro viral que desregula nosso sistema, e uma bactéria pode penetrar em seguida”, afirma.
A vacina que protege contra a pneumonia é oferecida de graça pelo SUS para idosos acamados e institucionalizados e pessoas com determinadas doenças e está disponível nas Unidades Básicas de Saúde (UBSs). Segundo especialistas, trata-se de um cuidado simples, mas capaz de evitar evoluções para cenários críticos, incluindo internações e risco de morte.
Athanazio destaca que a doença permanece entre as principais causas de óbito no mundo.
“A gente lembra que a pneumonia é uma das principais causas de óbito no mundo todo. Infelizmente, a gente vem aumentando esse número de casos ano após ano. Isso acaba tendo uma associação com a queda de vacinação que a gente tem visto nos últimos anos”, diz.
Nesta sexta-feira (21), quem quiser se vacinar pode procurar qualquer AMA ou UBS Integrada da cidade de São Paulo. As unidades vão funcionar normalmente.
/i.s3.glbimg.com/v1/AUTH_59edd422c0c84a879bd37670ae4f538a/internal_photos/bs/2025/w/h/wH11UESdmfwtLhVFM50g/1.png)
Atendimentos por pneumonia quase dobram em 7 meses na região de Campinas. — Foto: Reprodução EPTV

